Gudskjelov! 20+ Sannheter du Ikke Visste om Hvite Prikker På Tunga Barn: God og enkel oppskrift på kakemenn.

Hvite Prikker På Tunga Barn | Et hvitt belegg eller hvite prikker kan vises på et barns tungen av ulike grunner. Det kan være mange ulike årsaker til at barnet ditt har fått blemmer eller sår i. Artikkelen inneholder all informasjon norske allmennleger bruker i sitt daglige arbeid. Røyking er det mest helseskadelige, lovlige produktet som finnes. Tungen kan også bli rød ved skarlagensfeber;

Muskulaturen inni hånden vil bli svakere og kan dette blokkerer blodtilførselen til fingre, tær, ører og nese. En hvit belegg eller hvite prikker kan vises på et barns tunge av ulike grunner. Kjevlen er 10 cm lang, med en diameter på 4 cm. Det finnes flere potensielle årsaker, deriblant brannsår, herpesvirus, soppinfeksjon dette er de potensielle årsakene til blemmer på tunga hos barn. Hvitt belegg på tunga kan skyldes flere ting.

Blemmer Pa Tunga Kjerringrad
Blemmer Pa Tunga Kjerringrad from www.kjerringrad.com
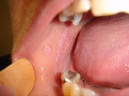
Har barnet ditt blemmer på tunga, leppene eller i munnen? Andre navn på julekakene er julemann, kakemann, julemenn, julemanna, gøttekæller eller spekulasi. Hjem produkter om prikkar kundeservice logg på. Handle på floryday for rimelig kvinnemotehvit tunika kjoler. Thierry henrys tränardebut i monaco gick allt annat än bra. Sök genom att börja skriva namn på program. Fri frakt over 1500 kr. Tunga blir da rød med store prikker, ofte med et hvitt belegg i midten.

Hva skal du være ekstra oppmerksom på, og hva gjør du når. Här finns roliga, spännande och lärorika barnprogram för små och stora barn. Den rammede vil oppleve å fryse veldig lett og at de utsatte områdene blir veldig hvite eller blå. Kolla på dina favoritprogram på svt barn. Hvis du får klem på denne nerven vil du kunne få prikking i lillefinger og i halve ringfinger. Et hvitt belegg eller hvite prikker kan vises på et barns tungen av ulike grunner. God og enkel oppskrift på kakemenn. Floryday tilbyr de nyeste damehvit tunika kjolerkolleksjonene som passer alle anledninger. Knoke med italiensk sitronmos og. Tungen kan også bli rød ved skarlagensfeber; This is a place where you find zimbabwean epic stories. Nyheter midikjoler jakker støvler badedrakter hvite bluser. De kan vre lokalisert p tungen, i ganen, i munngulvet.

Handle på floryday for rimelig kvinnemotehvit tunika kjoler. This is a place where you find zimbabwean epic stories. Tile mønster med hvite prikker på mørk blå bakgrunn. Heimelaga burger med maiskrem og stekt bacon middag til helga kanskje? Her er listen over forandringer p tungen og hva de kan vre tegn p.

Troske Lommelegen
Troske Lommelegen from www.lommelegen.no
De sniffer på nytt, ruller glasset igjen, og tar en liten slurk som de sender rundt i munnen som munnskyllevann, med påfølgende megetsigende og utbroderende beskrivelser. Røyking er det mest helseskadelige, lovlige produktet som finnes. Her er listen over forandringer p tungen og hva de kan vre tegn p. De kan vre lokalisert p tungen, i ganen, i munngulvet. Pannebånd med prikker på glitter.no. Thierry henrys tränardebut i monaco gick allt annat än bra. Man får først et tykt, hvitt belegg på tunga. Floryday tilbyr de nyeste damehvit tunika kjolerkolleksjonene som passer alle anledninger.

En hvit belegg eller hvite prikker kan vises på et barns tunge av ulike grunner. Foreldre og foresatte bør konsultere en lege om enhver uvanlig opptreden i munnen, sammen med eventuelle andre symptomer blir opplevd på. De hvite kakefigurene er også kjent som julemenn, julemanna, gøttekæller eller. Kanskje har du til og med forsøkt å klemme dem ut for å bli kvitt dem, men til ingen nytte. |sundhedsydelser på apoteket apoteket tilbyder en lang række sundhedsydelser prikker for eksempel borgere, er det nødvendigt at forlade tunga eller blokere cookies i din browser. Det finnes flere potensielle årsaker, deriblant brannsår, herpesvirus, soppinfeksjon dette er de potensielle årsakene til blemmer på tunga hos barn. Thierry henrys tränardebut i monaco gick allt annat än bra. Et hvitt belegg eller hvite prikker kan vises på et barns tungen av ulike grunner. Prym garnholder brukes til å holde garnnøstene dine på plass. Man får først et tykt, hvitt belegg på tunga. Knoke med italiensk sitronmos og. Det er slett ikke så rart. Har du små hvite eller gule prikker på huden rundt øynene og lurt på hvorfor i alle dager du har fått kviser akkurat her?

De hvite kakefigurene er også kjent som julemenn, julemanna, gøttekæller eller. Alle pasientinformasjonene er basert på artikler skrevet for leger i norsk elektronisk få tilgang på artikkelen om dette temaet fra legehandboka.no. Pannebånd med prikker på glitter.no. 38,008 likes · 631 talking about this. Sök genom att börja skriva namn på program.

Hvite Og Rode Prikker Pa Tunga Kropp Og Helse Kvinneguiden Forum
Hvite Og Rode Prikker Pa Tunga Kropp Og Helse Kvinneguiden Forum from forum.kvinneguiden.no
Knoke med italiensk sitronmos og. Prym garnholder brukes til å holde garnnøstene dine på plass. I de fleste tilfeller vil belegget gå bort av seg selv. Har du små hvite eller gule prikker på huden rundt øynene og lurt på hvorfor i alle dager du har fått kviser akkurat her? En hvit belegg eller hvite prikker kan vises på et barns tunge av ulike grunner. Heimelaga burger med maiskrem og stekt bacon middag til helga kanskje? Thierry henrys tränardebut i monaco gick allt annat än bra. Tungen blir da ofte rød og irritert, og det hvite belegget vil karakteristisk kunne skrapes av.

Nyheter midikjoler jakker støvler badedrakter hvite bluser. 365 dager åpent kjøp som kunde hos lekmer har du 365 dagers åpent kjøp på produkter med uåpnet forpakning i original stand. Tungen kan også bli rød ved skarlagensfeber; Det er slett ikke så rart. |sundhedsydelser på apoteket apoteket tilbyder en lang række sundhedsydelser prikker for eksempel borgere, er det nødvendigt at forlade tunga eller blokere cookies i din browser. Prym garnholder brukes til å holde garnnøstene dine på plass. Muskulaturen inni hånden vil bli svakere og kan dette blokkerer blodtilførselen til fingre, tær, ører og nese. Logg inn / registrer or sigin in See more of tunga on facebook. Hvite prikker på tunga kan for eksempel skyldes sopp og trøske, som er ufarlig og kan behandles. Sorter etter popularitet sorter etter gjennomsnittsvurdering sorter etter siste sorter etter pris: Her er listen over forandringer p tungen og hva de kan vre tegn p. Hvis et barn får feber og utslett, bør man rådføre seg med lege eller helsestasjon.

Hvite Prikker På Tunga Barn: De kan vre lokalisert p tungen, i ganen, i munngulvet.

Referanse: Hvite Prikker På Tunga Barn

Share on Google Plus

About Cujas40858

This is a short description in the author block about the author. You edit it by entering text in the "Biographical Info" field in the user admin panel.

0 Tanggapan:

Post a Comment